Set number: 2759

  • Biscutum testudinarium 5962 1
  • Biscutum testudinarium 5963 2
  • Biscutum testudinarium 5964 3
  • Biscutum testudinarium 5965 4
    10µm
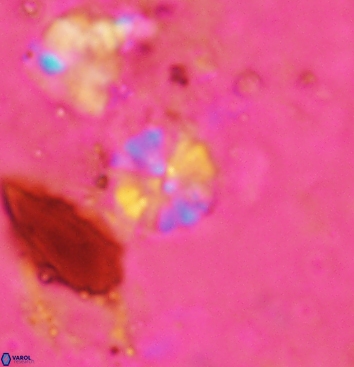
Biscutum testudinarium, Early Cenomanian, Mauritania, West Africa
Final Epithet
Biscutum testudinarium Black in Black & Barnes, 1959
Basionym

Biscutum testudinarium Black in Black & Barnes 1959

Dimensions Of Holotype

Calculated size: 3.6 µm; number of segments in the distal shield: ¬22

Optical Properties

In plan view under XPL, the distal shield is in constant extinction because the optic axis (c-axis) is perpendicular to the microscope stage, whereas the proximal shield and tube cycle display a white interference colour and exhibit length-fast (–) elongation. The segments of the proximal shield are clearly visible under XPL.

Remarks

The circular placolith has a distal shield larger than the proximal shield, each composed of approximately 16-24 segments, and a tube cycle.

References

Black, M. & Barnes, B. 1959. The structure of Coccoliths from the English Chalk. Geological Magazine. 96(5): 321-328.