Set number: 3854

  • Discoaster asymmetroivrachiones VR 17852 1
  • Discoaster asymmetroivrachiones VR 17849 2
  • Discoaster asymmetroivrachiones VR 17844 3
  • Discoaster asymmetroivrachiones VR 17847 4
  • Discoaster asymmetroivrachiones VR 17853 5
  • Discoaster asymmetroivrachiones VR 17850 6
  • Discoaster asymmetroivrachiones VR 17851 7
  • Discoaster asymmetroivrachiones VR 17848 8
  • Discoaster asymmetroivrachiones VR 17838 9
  • Discoaster asymmetroivrachiones VR 17840 10
  • Discoaster asymmetroivrachiones VR 17839 11
  • Discoaster asymmetroivrachiones VR 17842 12
  • Discoaster asymmetroivrachiones VR 17835 13
  • Discoaster asymmetroivrachiones VR 17836 14
  • Discoaster asymmetroivrachiones VR 17837 15
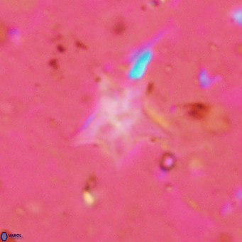
    10µm
Discoaster asymmetroivrachiones, Middle Miocene, IODP Expedition 354, Hole U1451B, Bengal Fan, Indian Ocean

Holotype

Final Epithet
Discoaster asymmetroivrachiones Varol & Bowman, 2024
Basionym

Discoaster asymmetroivrachiones Varol & Bowman, 2024

Diagnosis

An asymmetrical pentagonal species has segments with strongly tapering arms with simple terminations. The distinct proximal ridges without any knob decorate the proximal side, and sutural ridges created by the deep cavities are present on the distal side.

Etymology

From the Greek asymmetroivrachiones, asymmetrical arms – refers to its asymmetrical arms.

Dimensions Of Holotype

Maximum diameter: 7.88 µm, Diameter of the central area: 3.92 µm, Length of arms: 1.98 µm, Diameter of the proximal knob: 4.16 µm (measurements from bright field micrograph)

Remarks

Discoaster asymmetroivrachiones and Discoaster bengalica have pentagonal outlines. Discoaster asymmetroivrachiones have an asymmetrical outline with strongly tapering arms without bifurcations. Discoaster bengalica is a symmetrical species with tapering arms with bifurcated termination.

References

Varol, O. & Bowman, A. R. 2024. The New Middle Miocene Genus Olladiscoaster, and Related and Associated Discoasters. Grzybowski Foundation Special Publication, 28: 1-103 pp.