Set number: 2685

  • Konyaea minimus 5714 1
  • Konyaea minimus 5716 2
  • Konyaea minimus 5718 3
  • Konyaea minimus 5721 4
  • Konyaea minimus 5715 5
  • Konyaea minimus 5717 6
  • Konyaea minimus 5719 7
  • Konyaea minimus 5720 8
    10µm
Konyaea minimus, Late Turonian, Mauritania, West Africa

Set number: 2683

  • Konyaea minimus 1195 1
  • Konyaea minimus 1194 2
  • Konyaea minimus 1192 3
  • Konyaea minimus 1193 4
    10µm
Konyaea minimus, Late Santonian, Arabian Peninsula (The specific location cannot be disclosed)

Set number: 2681

  • Konyaea minimus 765 1
  • Konyaea minimus 766 2
  • Konyaea minimus 763 3
  • Konyaea minimus 764 4
    10µm
Konyaea minimus, Late Campanian, Arabian Peninsula (The specific location cannot be disclosed)

Set number: 2684

  • Konyaea minimus 5483 1
  • Konyaea minimus 5480 2
  • Konyaea minimus 5485 3
  • Konyaea minimus 5484 4
  • Konyaea minimus 5486 5
  • Konyaea minimus 5481 6
    10µm
Konyaea minimus, Late Santonian, Arabian Peninsula (The specific location cannot be disclosed)

Set number: 2682

  • Konyaea minimus 1168 1
  • Konyaea minimus 1169 2
    10µm
Konyaea minimus, Late Santonian, Arabian Peninsula (The specific location cannot be disclosed)
Final Epithet
Konyaea minimus (Bukry, 1969) Varol, n. comb.
Basionym

Zygodiscus minimus Bukry, 1969

Synonyms

Tranolithus minimus (Bukry, 1969) Perch-Nielsen, 1984

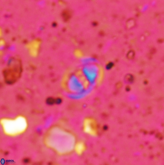
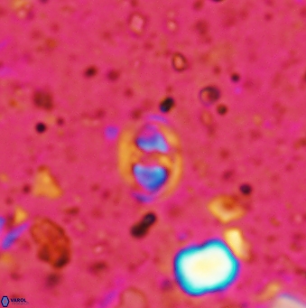
Description

A medium-sized species (4.0–7.0 µm) of Konyaea, with two non-porous segments on either side of the transverse bar,

Optical Properties

The wall and the fibrous transverse bar supporting the hollow distal process show constant extinction in plan view under cross-polarised light. The two non-porous segments exhibit white interference colours.

Remarks

Konyaea minimus is distinguished from Konyaea biclavatus and Konyaea macleodiae by having non-porous segments, whereas Konyaea macleodiae has angular segments with pores and Konyaea macleodiae has chevron-like segments.

References

Bukry, D. 1969. Upper Cretaceous coccoliths from Texas and Europe. University of Kansas Paleontological Contributions, Articles 51 (Protista 2): 1-79.

Perch-Nielsen, K. 1984. Validation of new combinations. INA Newsletter. 6(1): 42-46.