Set number: 2974

  • Corollithion karegae 4417 1
  • Corollithion karegae 4418 2
  • Corollithion karegae 4420 3
  • Corollithion karegae 4421 4
  • Corollithion karegae 4419 5
    10µm
Corollithion karegae, Middle Campanian, Arabian Peninsula (The specific location cannot be disclosed)

Set number: 2975

  • Corollithion karegae 6282 1
  • Corollithion karegae 6285 2
  • Corollithion karegae 6284 3
  • Corollithion karegae 6286 4
  • Corollithion karegae 6283 5
    10µm
Corollithion karegae, Middle Campanian, Arabian Peninsula (The specific location cannot be disclosed)
Final Epithet
Corollithion karegae Lees, 2007
Basionym

Corollithion karegae Lees, 2007

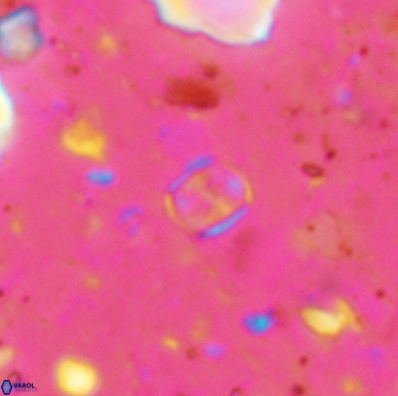
Optical Properties

The outer protolith wall remains in constant extinction because the optic axis (c‑axis) is perpendicular to the microscope stage. In contrast, the inner protolith wall shows greyish‑white interference colours, while the segments in the central area exhibit whitish‑grey interference colours, all observed in plan view under crossed polars.

Remarks

A small hexagonal species of Corollithion with a double protolith wall surrounding a central area that is completely filled by approximately six segments radiating from the centre.

References

Lees, J. A. 2007. New and rarely reported calcareous nannofossils from the Late Cretaceous of coastal Tanzania: outcrop samples and Tanzania Drilling Project Sites 5, 9 and 15. Journal of Nannoplankton Research 29(1): 39-65.